Bolton Analysis – A Key Tool in Orthodontic Treatment Planning

Contact

Status: Out of stock
Product code: Updating...
Manufacturer: Updating...
Type: Updating...
Orthodontic Webinar: Bolton Analysis – A Key Tool in Orthodontic Treatment Planning Watch the full webinar [here]. For more information, please contact Singapodent:Hotline/Zalo: (+84) 902 494 348Email: info@singapodent.com

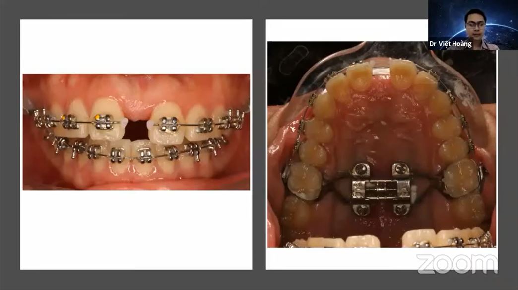
Orthodontic Webinar: Bolton Analysis – A Key Tool in Orthodontic Treatment Planning

Watch the full webinar [here].

For more information, please contact Singapodent:
Hotline/Zalo: (+84) 902 494 348
Email: info@singapodent.com



Mọi thắc mắc về sản phẩm, dịch vụ, quý khách hàng vui lòng liên hệ qua hotline: (+84) 902 494 348 hoặc gửi email về địa chỉ info@singapodent.com để được hỗ trợ và trao đổi công việc một cách tốt nhất.